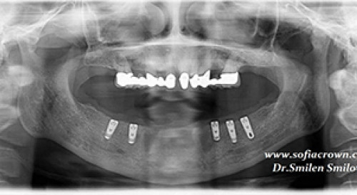
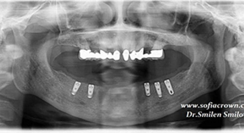
Поставени са пет импланта в долна челюст. Предстоящо имплантиране на още два, в областта на екстрахираните кучешки зъби. Поставени са пет импланта в долна челюст. Предстоящо имплантиране на още два, в областта на екстрахираните кучешки зъби.