Skip to content
Новини :
Здрави зъби и венци Какво трябва да знаем за кариесите Стъклени опори
  • Относно
  • Новини
  • Контакти
Обади се
0700 12 747
Изпрати ни имейл
[email protected]
Посети ни
гр. София, жк. Х. Димитър, ул. Никола Войновски 78
Работно време
Понеделник - Петък 10:00-18:00ч Събота 10:00-17:00ч Неделя - почивен ден

РЕНТГЕН СОФИЯ – ЗЪБНИ СНИМКИ

ЗЪБОЛЕКАРСКИ РЕНТГЕНИ и 3D

  • Начало
  • Услуги
  • Рентген
  • Често Задавани Въпроси
  • Контакти
  • ПОВЕРИТЕЛНОСТ

Клинични случаи

  • Home
  • Клинични случаи
Циментираният металокерамичен мост върху имплантите
Пациент на 54г., с липсващи кътни зъби долу в ляво. Поставяне на имплант от д-р Смилен Смилов, в областта на първи кътен зъб.
Поставени четири зъбни импланта в горната челюст. Едновременно с това се извърши и повдигане пода на двата максиларни синуса. Метод – закрит синус лифт.
Поставени два зъбни импланта в областта на 46 и 47 в долна челюст.
Два зъбни импланта Straumann в горна челюст.
Поставени са пет импланта в долна челюст. Предстоящо имплантиране на още два, в областта на екстрахираните кучешки зъби.
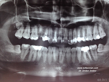
Екстрахирани два долни полуретенирани мъдреца. Екстрахиран е зъб 15 и поставен зъбен имплант Zimmer след 2 месеца, с цел запазване на меки тъкани поради отказ от страна на пациента за небцова съединително-тъканна присадка. Инициалната стабилност е ~60 nm., което позволи имедиатното натоварване на импланта. Снимката е направена 6 месеца след имплантацията, при която не се наблюдава крестална резорбция или такава в дълбочина.
Екстрахирани два долни полуретенирани мъдреца. Екстрахиран е зъб 15 и поставен зъбен имплант Zimmer след 2 месеца, с цел запазване на меки тъкани поради отказ от страна на пациента за небцова съединително-тъканна присадка. Инициалната стабилност е ~60 nm., което позволи имедиатното натоварване на импланта. Снимката е направена 6 месеца след имплантацията, при която не се наблюдава крестална резорбция или такава в дълбочина.
Отпечатък от два импланта
Фиксирани три надстройки(абатмънти)
Разкрити импланти. Оформена гингива
Обади се
0700 12 747
Изпрати ни имейл
[email protected]
Посети ни
гр. София, жк. Х. Димитър, ул. Никола Войновски 78

Рентгенов кабинет

Нашият рентгенов кабинет към Дентални клиники Sofia Crown разполага с най-ново поколение стоматологично, рентгеново оборудване на водещия световен производител – VATECH – Южна Корея. #VATECH използват в рентгеновите си апарати уникални, патентовани технологии и усъвършенствани системи за получаване на ясни, и детайлни изображения при изключително ниски нива на облъчване с рентгенови лъчи.

Важни линкове

  • Начало
  • Услуги
  • Рентген
  • Често Задавани Въпроси
  • Контакти
  • ПОВЕРИТЕЛНОСТ

Скорошни постове

  • Зъбни импланти. Имплантиране на зъби
  • 5 стъпки за по-ефективно почистване на зъбите
  • Здрави зъби и венци
  • Какво трябва да знаем за кариесите
  • Стъклени опори

© All right reserved 2018

Design by Aleksandar Paunovsky

Make Appointment

[CP_APP_HOUR_BOOKING id="1"]